近日,莆田福德医院骨科迎来 黄益平主任 正式加盟!作为骨科领域经验丰富的专家,他的到来不仅进一步提升了我院骨科的诊疗实力,更让区域内的骨病患者在家门口就能享受到高质量的医疗服务。 近期, 黄益平主任便成功完成一例 高难度“肘关节恐怖三联征” 手术,助年轻患者重拾健康生活。
01 突发意外:打球摔伤致骨折
30岁的患者郑先生近日在打篮球时不慎摔伤,当即感右肘部剧烈疼痛、畸形,伴关节活动受限。伤后郑先生立即前往当地医院就诊,摄片提示右肘关节脱位伴骨折,经紧急手法复位后,为寻求进一步手术治疗,郑先生了解到黄益平主任近日加盟莆田福德医院骨科,遂慕名而来。
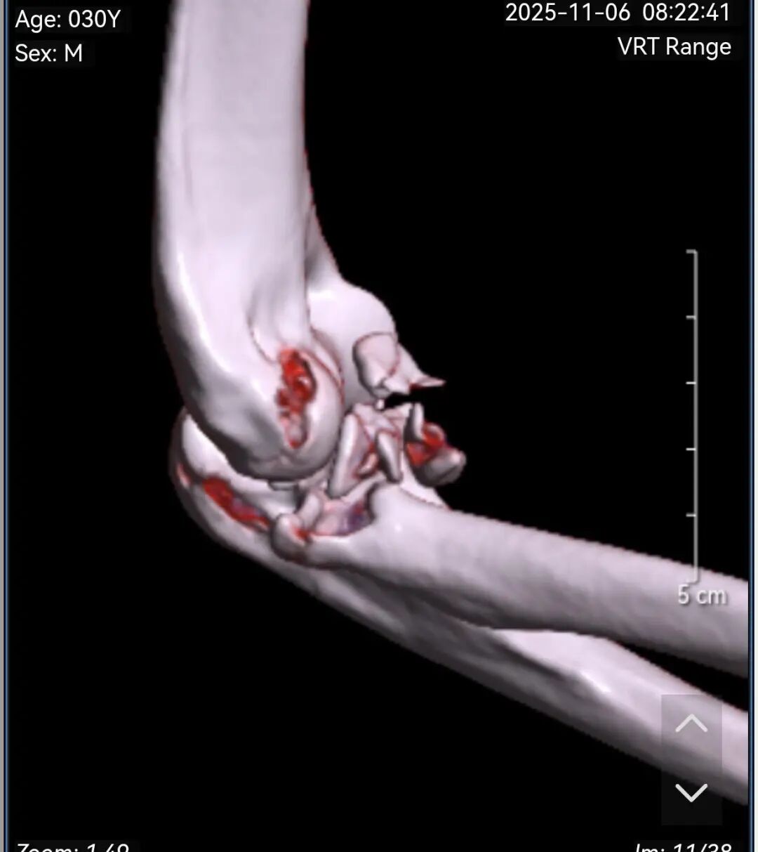
黄益平主任接诊后,经详细询问病史、查体并完善相关检查后,明确诊断为 “右肘关节恐怖三联征( 右尺骨冠突骨折、右桡骨小头粉碎性骨折 、肘关节后脱位已复位)”。
患者术前影像
恐怖三联征
“恐怖三联征, 是肘部最复杂的高能量创伤之一 ”,黄益平主任介绍,该病症因涉及骨性结构与软组织的复合损伤, 治疗难度极大, 若处理不当易导致关节僵硬、不稳定、创伤性关节炎等后遗症,甚至可能造成永久性功能障碍。
02 名医护航:黄益平主任精准施治
考虑到郑先生年仅 30 岁,对关节活动功能要求高,保守治疗无法恢复关节稳定性,手术治疗是唯一选择。
黄益平主任随即带领骨科团队进行了全面的评估和讨论,结合患者伤情及影像学检查结果,制定了精准的治疗方案: 右肘关节恐怖三联征骨折切开复位内固定+韧带重建修复肘关节稳定术。
手术过程中,黄益平主任凭借精湛的操作技巧和丰富的临床经验,带领团队顺利完成骨折复位、内固定植入及韧带修复等核心操作,每一步都精准到位,环环相扣。
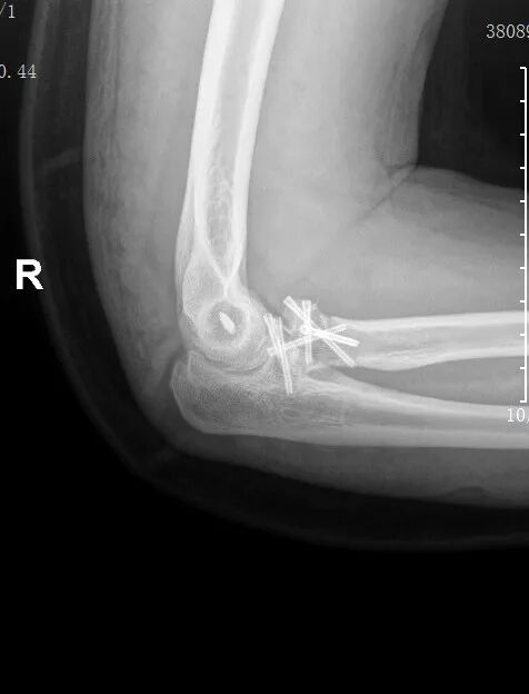
术后复查提示:骨折对位对线良好,内固定位置理想。目前,郑先生正在医护团队的专业指导下开展循序渐进的康复训练,肘部功能逐步恢复,预后良好。
患者术后复查影像
黄益平主任在骨科领域耕耘多年,尤其在关节内骨折、复杂创伤骨折的诊断和手术治疗方面造诣深厚,经验丰富。他的加入,将进一步增强福德医院骨科的技术力量,让更多骨病患者在家门口享受到专业、高效、优质的医疗服务。

扫一扫关注微信